DESCRIPTION
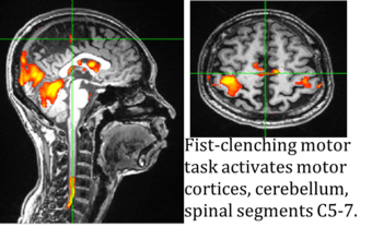
The Systems Neuroscience & Pain Laboratory at Stanford University (SNAPL) is actively recruiting a postdoctoral fellow who will join our research project on chronic pain. Funded by the National Institute of Health and directed by neuroscience professors Sean Mackey and Gary Glover, our goal is to investigate mechanisms of chronic pain using methods we developed to image the entire CNS via simultaneous spinal cord/brain fMRI.
Our plan is to characterize neurobiological mechanisms underlying chronic pain and use this information to develop objective biomarkers of pain, ultimately, to derive new personalized interventions. Given abundant findings that fMRI of the brain can act as biomarker for chronic pain conditions, we propose utilization of our simultaneous spinal cord/brain fMRI to develop biomarkers of pain severity. Our research can be categorized as follows:
1. CNS mechanisms of chronic pain and pain modulation,
2. central sensitization and descending modulation,
3. corticospinal biomarkers of chronic pain conditions,
4. predictive models of pain resilience.
When you join, you will have opportunity to collaborate with top neuroscientists, psychologists, machine learning experts and pain specialists at Stanford. Additionally, you will have access to cutting-edge fMRI technology; to invent and develop your own related research. Multidisciplinary aspects of this project will allow you to explore diverse chronic pain topics ranging from biomarker design for degenerative conditions to heart rate variability as a simple biomarker for psychological disorders.
We have a strong track record for successfully transitioning postdoctoral fellows to independent grant funding and faculty positions. We can offer NIH T32 training to select candidates. The ideal candidate is a motivated problem solver and innovator who has a neuroscience background, enjoys challenging the paradigms of contemporary research and experimentation, is proficient with computer-aided analysis, and is enthusiastic and passionate about fMRI acquisition.
RESEARCH AREA
● fMRI and behavioral data from Healthy Control and Fibromyalgia,
● Novel analysis techniques for multiecho cardiac-gated fMRI, spinal cord/brain task/resting-state fMRI,
● Experiment design for
1. temporal summation & central sensitization of pain,
2. conditioned pain modulation,
3. descending pain modulation & emotional reappraisal of pain,
● Multivariate pattern analysis of spinal cord/brain data for corticospinal biomarker,
● Simultaneous spinal cord/brain fMRI for multiple sclerosis, spinal cord injury & trauma, motor neuron disease.
QUALIFICATION
Applicants must have received, as of the beginning date of the appointment, an MD/PhD, MD or PhD or comparable doctoral degree from an accredited domestic or foreign institution. Experience in neuroimaging analysis is a must. Additional experience in any of these is a plus:
1. Cognitive / Affective Neuroscience
2. Computational modeling / Machine Learning / Neural Networks / ICA
3. Chronic pain
4. MATLAB / Python / R / Linux / C
5. SPM / AFNI / FSL / fMRIPrep
APPLICATION MATERIALS
Submit (1) CV, (2) NIH Biosketch, (3) Letter of Research Intent
Find instructions, blank format pages, and sample biosketches here: biosketch formats. Applicants follow non-fellowship templates. Letter of Intent template is available here.
For more information, visit
Address Letter of Research Intent to Christine Sze Wan Law: