Stanford, California
Loading post details...
Loading post details...
SUpost » Stanford, California » campus jobs » research » Parents and Children Needed for...
Reply to: Use the form at the bottom to send messages to this user.Use the form at the right to send messages to this user.
Date: Tue, Mar 21, 2017, 10:30 AM PDT
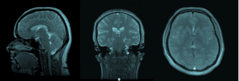
Are you the parent of a healthy 8-17 year old child? Would your child be interested in participating in medical research and taking home a picture of her or his brain?
Parents and their children are needed for a brain-imaging study that explores predictors of emotional resilience in children and adolescents.
The study takes place in the Department of Psychiatry and Behavioral Sciences at Stanford University. You and your child would participate in interviews, your child would do some activities on a computer, and even have a noninvasive MRI scan taken of his/her brain.
Eligible families will be paid for their time. The study will last approximately 6 hours over the course of two visits. We will schedule the sessions around your availability (daytime, evenings, or weekends are all fine).
To be eligible for this study, the parent must:
**Have no known psychiatric illness
**Have no other neurological conditions
The child must:
** be age 8- 17 years old
** have no known psychiatric illness
** have no braces or metal in his or her body
** be a US citizen or non-citizen with a Green Card
** read and speak English
** have no immediate plans to leave the Bay Area
If you would like to receive more information, please call or email us at:
Phone: 650-721-4049
E-mail: daniwall@stanford.edu
Thank you.
For general information about participants rights, contact 1-866-680-2906.
please do not message this poster about other commercial services